SERVIÇOS
Saúde
Na TIBIA, a área da Saúde é dedicada à recuperação da funcionalidade, à gestão da dor e à promoção de um corpo mais equilibrado. Atuamos com base em sessões individualizadas, adaptadas à condição clínica e aos objetivos de cada pessoa. Através de técnicas atualizadas e acompanhamento próximo, trabalhamos para que cada recuperação seja segura, eficaz e centrada na pessoa.
Cada intervenção é acompanhada por um fisioterapeuta e planeada com rigor técnico, respeito pelo tempo de recuperação e total atenção à experiência de quem cuidamos.
Intervimos em três áreas principais:

- Fisioterapia Músculo-esquelética
A fisioterapia músculo-esquelética atua na avaliação e tratamento de disfunções que afetam músculos, articulações, ligamentos e tendões. Na TIBIA, intervimos em condições como lombalgias, cervicalgias, tendinites, artroses ou alterações posturais, com o objetivo de reduzir a dor, melhorar a mobilidade e restaurar a funcionalidade do corpo. Cada plano terapêutico é individualizado e pode incluir técnicas manuais, exercício terapêutico e estratégias de autocuidado, sempre com acompanhamento próximo e ajustado à evolução clínica.

- Fisioterapia Desportiva
A fisioterapia desportiva é direcionada a atletas e praticantes de exercício físico, com foco na prevenção de lesões, na recuperação funcional e no retorno seguro à prática desportiva. Na TIBIA, avaliamos e tratamos lesões como entorses, roturas musculares, tendinopatias e outras condições comuns no contexto desportivo. As sessões são desenhadas com base nas exigências da modalidade praticada, integrando estratégias de reforço, controlo motor, recuperação ativa e reeducação do gesto técnico, sempre com atenção ao desempenho e à integridade física a longo prazo.

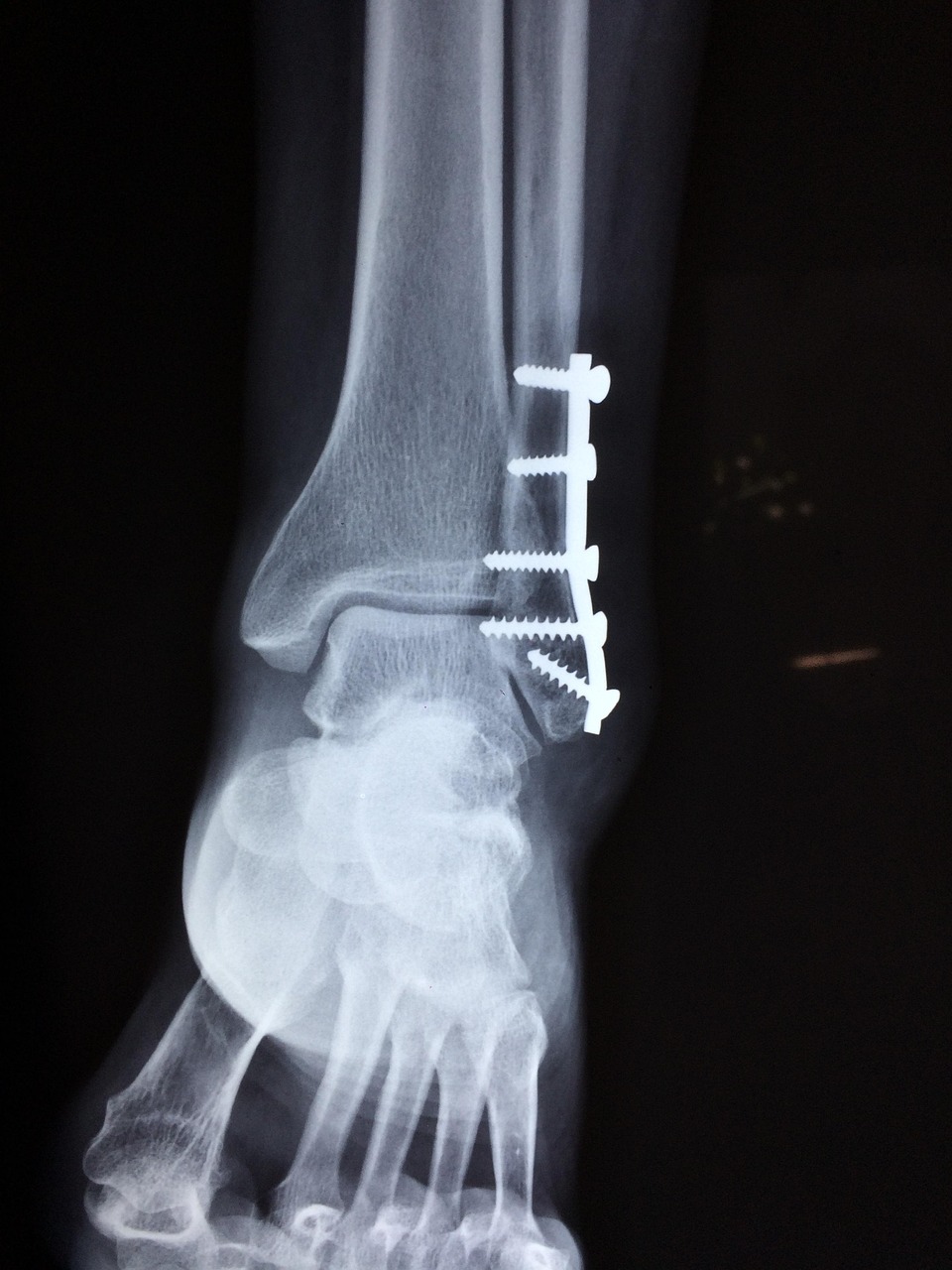
- Reabilitação Pós-Operatória de Cirurgia Ortopédica
Após uma cirurgia ortopédica, a reabilitação adequada é essencial para restaurar a mobilidade, reduzir a dor e recuperar a funcionalidade. Na TIBIA, acompanhamos o processo de recuperação de forma individualizada, respeitando as fases da cicatrização e os protocolos clínicos indicados. Intervimos em casos de próteses articulares, artroscopias, fraturas, reparações ligamentares e outras cirurgias, com foco na mobilização progressiva, no reforço muscular e na retoma gradual das atividades do dia a dia — com segurança, eficiência e rigor clínico.
